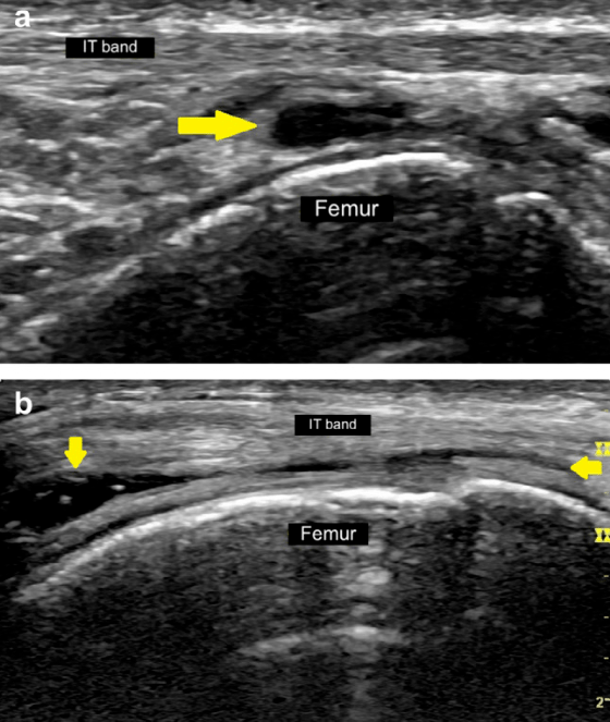
髂胫束综合征或摩擦综合征是膝关节外侧过度使用的疾病。它在运动员(例如跑步和自行车)群体中高发。超声影像作为一种高性价比的成像方式,能够以高分辨率、动态评估以及与对侧健康侧进行比较来显示浅表软组织结构,对于评估髂胫束综合征具有重要参考价值。
临床表现

疼痛发生在远端髂胫束水平,在股骨外上髁与胫骨止点之间,与规律的体育活动有关。最初,膝关节外侧疼痛通常在完成体育活动的后期或之后出现。随着症状的发展,它在活动过程中较早开始。在体格评估中,会因股骨外上髁水平的触诊而疼痛。
病理学与风险因素髂胫束与股骨外上髁的摩擦
错误训练训练错误,如急剧增加训练距离和下坡跑步。特别是,在下坡跑步时,膝关节屈曲减少,因而了促进髂胫束摩擦,因为这发生在屈曲 30° 左右或略低于 30° 。
生物力学主膝内翻、髋外展无力和下肢长度差异。
临床表现

疼痛发生在远端髂胫束水平,在股骨外上髁与胫骨止点之间,与规律的体育活动有关。最初,膝关节外侧疼痛通常在完成体育活动的后期或之后出现。随着症状的发展,它在活动过程中较早开始。在体格评估中,会因股骨外上髁水平的触诊而疼痛。
病理学与风险因素髂胫束与股骨外上髁的摩擦
- 髂胫束深处的脂肪和结缔组织受压
- 髂胫束下方的外膜囊的慢性炎症
- 关于第一点的“摩擦说”:与髂胫束在涉及重复膝关节屈伸的活动中来回摩擦股骨外上髁有关,从而导致髂胫束摩擦和邻近软组织发炎。多年来,这一病因一直存在争议,特别是关于髂胫束运动的方向和程度。然而,一项超声研究表明,在膝关节伸展和屈曲期间,髂胫束相对于股骨外上髁沿前后方向移动,因此支持摩擦作为病因学因素的核心作用。
错误训练训练错误,如急剧增加训练距离和下坡跑步。特别是,在下坡跑步时,膝关节屈曲减少,因而了促进髂胫束摩擦,因为这发生在屈曲 30° 左右或略低于 30° 。
生物力学主膝内翻、髋外展无力和下肢长度差异。







