胃炎是属于胃病中常见的一种,大部分胃病都是由于饮食不当而来。而现代人习惯大吃大喝、烟酒过度、生活没有规律,这些都是造成胃功能下降的主要因素。其次,工作紧张且生活压力相对比较大,也很容易导致胃的病变。胃病最初会引发胃炎,而胃炎的早期没有症状,如果不加以治疗和修复,就可能会恶化引发胃癌。

什么是胃炎呢?
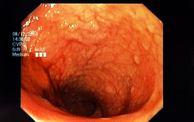
胃炎是各种原因引起的胃黏膜炎症,为最常见的消化系统疾病之一。按临床发病的缓急,一般可分为急性和慢性胃炎两大类型。
先说一下慢性胃炎吧,慢性胃炎一般要看个人的身体情况,也许不会有什么感觉,不过不管怎样都会出现不同程度的消化不良,有些人还会觉得肚子隐隐作痛,而且又是看到食物会有恶心想吐的感觉,没有食欲,并且总感觉胃里胀着一口气憋的难受。

然而急性胃炎的患者要比慢性胃炎的人难受的多,他们不仅会有胃胀、上腹疼痛、恶心干呕的情况,而且如果严重的话,会出现“黑便”而且呕吐物中会有血,也就是消化道出血的提示,加入出血较多的时候需要马上去医院治疗。
还有一个情况那就是胃溃疡,这个应该是最闹心的,因为它会出现有规律性、节奏性的表现,那就是进食后胃就会疼,等食物消化的差不多了,疼痛也就减轻了。这样是会严重的影响自己的食欲。

什么是胃炎呢?
胃炎是各种原因引起的胃黏膜炎症,为最常见的消化系统疾病之一。按临床发病的缓急,一般可分为急性和慢性胃炎两大类型。
先说一下慢性胃炎吧,慢性胃炎一般要看个人的身体情况,也许不会有什么感觉,不过不管怎样都会出现不同程度的消化不良,有些人还会觉得肚子隐隐作痛,而且又是看到食物会有恶心想吐的感觉,没有食欲,并且总感觉胃里胀着一口气憋的难受。

然而急性胃炎的患者要比慢性胃炎的人难受的多,他们不仅会有胃胀、上腹疼痛、恶心干呕的情况,而且如果严重的话,会出现“黑便”而且呕吐物中会有血,也就是消化道出血的提示,加入出血较多的时候需要马上去医院治疗。
还有一个情况那就是胃溃疡,这个应该是最闹心的,因为它会出现有规律性、节奏性的表现,那就是进食后胃就会疼,等食物消化的差不多了,疼痛也就减轻了。这样是会严重的影响自己的食欲。




